發新話題
打印

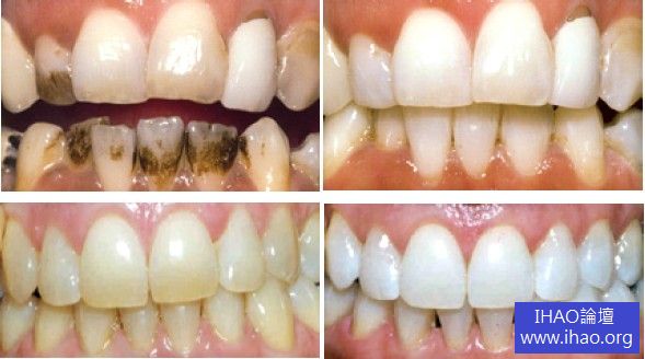
13個幫助你牙齒翻白的小技巧

13個幫助你牙齒翻白的小技巧

吸菸帶給男人除了健康危害,還有一大壞處,那麼就是牙齒變黃。一口黃牙很影響形象,那麼抽菸牙齒黃怎麼變白呢?戒掉菸癮是第一要務,若是無法戒菸,下面教你抽菸男人必學的13個黃牙美白法!

抽菸為什麼會讓牙齒變黃呢?這是因為煙的成分中含有尼古丁、菸焦油等物質,無法在水中溶解,所以會積累在牙齒上。此外,專家指出,刷牙雖然的確可以去除牙齒表面的污垢和細菌,但是還有一些殘留物會沉積在牙齒表面並分泌許多黏性物質,當吸入口腔內的煙霧與牙齒表面的黏性物質相結合後,日積月累,慢慢使牙齒表面變黃或變黑。因此,戒掉菸癮才是保持牙齒潔白和預防牙周病的重要手段。

如果戒菸困難,又想擁有一口潔白健康的牙齒,就得善待牙齒,應該更加重視日常的口腔清潔,平常吃過食物要及時刷牙,學會使用牙線,徹底清除牙縫內的食物殘渣及菌斑,吸菸後立即漱口。抽菸牙齒黃怎麼變白呢?下面教你13招,黃牙美白不再遙遠!

抽菸牙齒黃怎麼變白?

1、小蘇打刷牙

刷牙的時候在牙膏上加點小蘇達,不要沾水,輕刷牙齒表面,可以有效清除牙鏽,增加牙齒的亮白。小蘇打可以食用,但卻是鹼性物質,所以刷牙時不能太用力,否則很容易損傷口腔內細嫩的肌肉,不但會疼痛,而且可能損害健康。這個方法從化學角度有理論支持,但還是建議大家不要總是採用,攝入過量的鹼對身體內部平衡不好。

2、多喝綠茶

綠茶中的單寧酸可防止細菌粘著在牙齒上,進而防止牙齒著色,同時也有助於防止口臭。綠茶中多酚可防止口腔變酸及組織細菌滋生。綠茶還能提高口腔氟化物水平,減少牙釉質損傷。

3、勤刷牙和使用牙線

防止你的牙齒變色比你去除牙漬會更簡單,刷牙和使用牙線對於保護牙齒潔白有很重要的效果,保持這樣的習慣,可以長久保持你的牙齒不變色。

4、多吃深綠色蔬菜

菠菜、西蘭花等深綠色蔬菜裡面所含的礦物質能夠幫助在牙齒表面形成保護膜,防止牙齒變黃。專家還建議,還要多吃蘋果、梨、芹菜和胡蘿蔔等,通過咀嚼可促進唾液分泌,減少口腔細菌,幫助美白牙齒。

5、咀嚼芹菜

纖維粗就像掃把,掃掉牙齒上的部分食物殘渣,另外愈是費勁咀嚼就愈能刺激分泌唾液,平衡口腔內的酸鹼值,達到自然的抗菌效果。


6、常吃黑巧克力

黑巧克力中的可可鹼有助使牙釉質更堅固。進而防止牙垢和牙齒變色。但是卡茨博士表示,牛奶巧克力非但沒有美白牙齒的功效,反而會導致口臭,因為其中含糖和牛奶。

7、活性炭粉末美白牙齒

大家都知道木炭過濾水或者拯救中毒者的原理,它就像一塊磁鐵,將髒東西或者毒素輕鬆吸收乾淨,這一功能同樣適用於牙齒美白。結合等份的水和活性炭粉末(可以在保健商店購買),攪拌均勻後將混合物倒入口中,像漱口一樣,鼓動兩腮與唇部,使混合物在口腔內能充分與牙齒接觸,鼓動一分鐘後,將混合物置於牙齒前面停留五分鐘,然後吐出來,並用清水多沖洗幾次,將活性炭粉末全數清洗出來。

8、吃完深色食物記得漱口

咖啡、紅酒、巧克力、泡菜、咖哩等等吃完之後,記得在顏色留在牙齒上之前立刻漱口。

9、用醋除牙垢

常吸菸的人,牙齒了會出現一層黑黃色的煙垢,用牙膏很難刷掉,但用醋刷便能使牙齒去垢潔白。含半口食醋,在口腔裡含漱2-3分鐘,然後吐出,再用力刷牙,最後用清水洗淨,反覆幾次可除煙垢。

10、檸檬汁去除牙垢

刷完牙後,沾檸檬汁擦每一顆牙齒。用紗布沾些檸檬汁,摩擦牙齒,牙齒就會變得潔白光亮。檸檬中的煙酸能有效去除牙垢,洗淨力強,又有牙齒變白作用,且含有維他命C,能強固齒根。每天早晚進行一次,一週即可生效!

11、草莓小蘇打糊美白牙齒

草莓是一種天然牙齒增白劑,把它當作零食吃,是一種偉大的方式來獲得蘋果酸和維生素C。維生素C可以清除牙漬美白牙齒,蘋果酸讓人感覺澀澀的,其實它的作用也是去除牙齒表面污漬。混合小蘇打,就是美白牙齒的明星組合!將幾顆草莓粉碎成漿,然後加入半湯匙小蘇打,混合均勻,用軟毛牙刷涂於牙齒內外側,大概五分鐘後用清水沖洗乾淨。

12、常吃奶酪和堅果

奶酪鮮為人知的一大好處是可以降低口腔PH值,減輕口腔酸度。這意味著牙齒著色和侵蝕的機會更少。另外奶酪中的鈣還有助於堅固牙齒。堅果等口感鬆脆和起到研磨作用的食物有助於「擦洗」牙菌斑和導致牙齒著色的物質。

13、橙皮摩擦美白牙齒

下一次吃橙子時,記得橙皮可千萬不要扔了。橙皮內側白色的那部分含有檸檬烯成份,它是一種天然的溶劑。你或許已經注意到一些家用清潔產品中也含有檸檬烯,它就是去除污漬的成份。只需要將剝離下來的橙皮內側白色部分摩擦自己的牙齒表面,或者取下白色部分放在嘴裡咀嚼幾分鐘,然後漱下口就OK了。 <div style="display:none;"><a href="https://seninlinkin.com">Ziyaret Et</a></div>

TOP

發新話題